KORONER ANJİYOPLASTİ VE STENT NEDİR, NASIL YAPILIR?
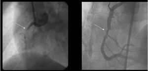
Koroner anjioplasti tıkanmış kalp arterlerini açmak için kullanılan bir prosedürdür. Balon anjiyoplasti, arterin genişlemesine yardımcı olmak için arterin tıkandığı bölüme küçük bir balonun geçici olarak yerleştirilmesi ve şişirilmesi işlemidir. Anjiyoplasti çoğu kez, damarın açık kalmasını sağlamak ve tekrar daralma olasılığını azaltmak için stent olarak adlandırılan küçük bir tüpün sürekli yerleştirilmesi ile birleştirilir. Bazı stentler arteri … Okumaya devam et KORONER ANJİYOPLASTİ VE STENT NEDİR, NASIL YAPILIR?
WordPress sitenizde gömmek için bu adresi kopyalayıp yapıştırın
Sitenize gömmek için kodu kopyalayıp yapıştırın